Laura Thomas e Matthew Tansley levaram um susto ao ver a ressonância magnética de seu bebê Lucas com 30 semanas de gestação.
Eles teriam visto a aparência do filho no exame e se surpreenderam com a imagem.
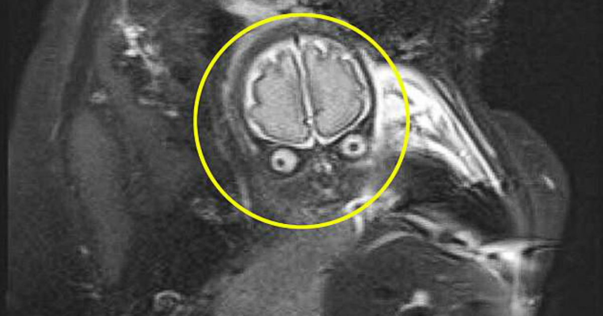
Foi preciso fazer uma ressonância após o médico ter visto fluido em excesso no cérebro do bebê durante um de seus ultrassons. Mas, foi constatado que não tinha nenhuma complicação.
Mesmo assim, a criança passou por vários exames. O casal então decidiu compartilhar a foto da ressonância em suas redes sociais e a imagem viralizou.



Aviso